I do a fair amount of trauma anesthesia. An important part of trauma bay resuscitation is a quick and dirty transcutaneous ultrasound evaluation; Heart, pleural space, liver, spleen, bladder.
First, my anesthesiology colleagues resent having to maintain ACLS certification; as one of them put it, “it’s like making a master chef take remedial sauce-making every two years.” I am such a "master-chef'," and I couldn’t disagree more, for three reasons.
First, I have seen too many codes botched by “bread-and-butter” anesthesiologists over the past two decades to harbor any illusions about the “master chef” designation of anesthesiologists a decade or more out of training. Many of them are right there, but some of them are not.
Secondly, ACLS is about a team approach to a high-tempo crisis. The team expects certain behaviors from the leader; if the leader does not fit her management style into a response pattern expected by the conditioning of the team, confusion and disorganization are the consequence. Especially with the young generation of clinician nurses, they need explanations to be comfortable, and once you have established your familiarity with the standard therapies, they will accept variation with brief explanation. I am reminded here of innovators like John Coltrane, whose extraordinary trail blazing virtuosity was validated by his equally extraordinary command of the the traditional ballad-bebop forms. You gotta start from terra-cognita on your way to terra-nueva (we’re leaving out terra-incognita here…)
Finally. Things change. Aloha, bretylium and procainamide, welcome, Amiodarone. You can't ell the players without a program.
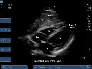
But I digress. I feel strongly that we ought to have a simple echo (like a sono-site; there is a great subcostal view to the right here) available at EVERY code, and the team ought to be trained to get the
windows that tell you what you need to know to diagnose the mechanical causes of PEA. It’s time. There are no disposables, so it’s a one-time cost. If you are being fussy about sterility, a sandwich bag with a tie-wrap, or a transderm-type occlusive sticky will do. I suppose you could have the ultrasonography team respond to every code as an alternative. But that seems like overkill, and in any case, crowds the room. It's time to do the (inevitable) validation work with and without. After all, an artist is only as good as his tools...
Mitch Keamy is an anesthesiologist in Las Vegas Nevada
Andy Kofke is a Professor of Neuro-anesthesiology and Critical Care at the University of Pennslvania
Mike O'Connor is Professor of Anesthesiology and Critical Care at the University of Chicago
Rob Dean is a cardiac anesthesiologist in Grand Rapids Michigan, with extensive experience in O.R. administration.









